妇一科病房经常接收一些老年女性患者,她们都面临着一个共同的问题——盆腔器官脱垂。这些阿姨们,由于年轻时在生育后很早就参加了体力劳动,并没有进行过盆底康复,导致年龄增大后出现了盆腔器官脱垂症...
11-112024近日一名化名叫浩浩的37天小男婴因“肺炎”到我院接受治疗,当我们看到浩浩的第一眼就觉得他与众不同,反应淡漠,眼距较正常宝宝宽,面中较长,肌张力低下,查体时浩浩四肢犹如面条一样软塌塌,那么让...
11-112024秋冬季节来临,天气寒冷,流感及肺炎高发,要警惕双重感染!防治流感和肺炎的最佳方案就是疫苗接种。按照国家疾控局综合司和国家卫健委办公厅联合印发《预防接种工作规范》的要求,肺炎疫苗和流感疫苗可...
11-112024小儿不爱吃饭困扰着很多家长,那么小儿为什么不爱吃饭呢?怎么预防和治疗呢? 小儿不爱吃饭中医称为厌食,是小儿较长时期食欲不振或缺乏,对所有食物均不感兴趣,甚至厌恶或者拒绝进食,...
11-042024近几年随着医学检验手段的加强,EB病毒感染的患者逐渐增多。绝大多数人并不了解EB病毒,以至于造成不必要的恐慌。今天锦州市儿童医院血液科李丹主任就带大家一起了解一下EB病毒。...
11-042024外阴白斑又称外阴白色病变、外阴营养不良、外阴营养障碍、外阴硬化性苔藓等,其发病率较高,青春期前和绝经后妇女是两个高峰,绝经后女性更多见。临床症状:外阴瘙痒难耐,尤其夜间加重,皮肤粘膜发白、...
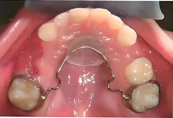
11-042024在日常生活中,经常有小朋友因为没有保护好自己的牙齿,导致乳牙过早丢失。去医院就诊后,医生通常会建议小朋友做间隙保持器。那么,什么是间隙保持器呢? 间隙保持器是一种用于儿童牙...
10-282024前不久,内三科收治了一个多饮多食多尿的小朋友,一验血糖竟高达20mmol/L,经过完善相关检查,很快确诊为Ⅰ型糖尿病。家属感到十分震惊,这么小的孩子怎么能得糖尿病呢?提起糖尿病,人们马上就...
10-282024十月怀胎,一朝分娩,每个孕妈妈们期待着新生命的到来,也感谢这奇妙的孕育过程。 怀孕的过程漫长又艰辛,让每个孕妈妈迅速成长起来散发出母性的光辉。随着太阳的东升西落,肚子一天天变...
10-282024张女士,一位在事业上独当一面、在生活中温柔细腻的女性,却因压力性尿失禁这一隐疾而长期饱受折磨。每当日常生活中的不经意动作,如咳嗽、大笑,都会让她陷入尴尬与不安,随后张女士进行了保守治疗后症...
10-282024