大医厚德  仁怀济世

转作风  抓质量  强服务  树品牌

您的位置:首页 > 医院动态

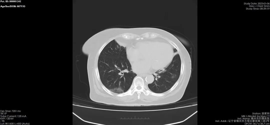
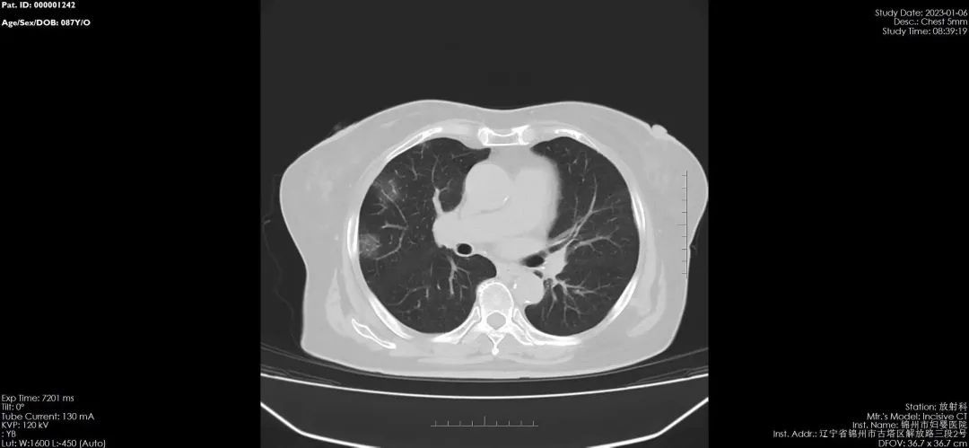
【医疗时讯】CT对病毒性肺炎的检查优势

发布时间:2023-01-06作者:点击量:1146

      锦州市妇婴医院(妇幼保健院)放射线科,于2020年引进国内最新进口飞利浦64排128层螺旋CT,扫描速度快、分辨率高、层数更薄,对病毒性肺炎有着更高的检出率和准确率,可以更好的与其他肺炎进行区分,对早期肺炎治疗有着非常重要的临床意义。


      医院放射线科将以精密的仪器、高质量的服务水准、精湛的诊疗技术为广大患者的健康保驾护航。


供稿科室|放射线科   文|李一明
编辑审核|刘畅 吕长刚 卢静 徐进
图文校对|周冲 胡爽 安珊珊 于晓萌 姜任龙
  • 医院地址:锦州市古塔区解放路三段2号
  • 白天 08:00-16:30 0416-2111450 夜间 13304069399
  • 生殖医学分院地址: 锦州市松山新区市府路36号
  • 电 话: 0416-3856339/0416-2111416
  • 网 址:http://www.jzsfy.com
页面版权归锦州市妇婴医院所有 本站内容仅供参考,不作为诊断及医疗依据    技术支持:锦州纳腾科技